
Det är nästan alltid vänster vena spermatica som bildar varicer i vänster skrotalhalva (pung).
Detta beror ofta på antingen dåliga venklaffar eller kompression av vänster njurven mellan a.mesenterica superior samt aorta som då stagnerar blodflödet i vänster v.spermatica.
Även njurvenens mycket höga blodvolym kan spela roll för en reflux ner i v. spermarica.
Denna vänstra sida har enklast åtkomst med en kateter.
Vid ett fåtal fall finns varicer i höger skrotalhalva. Avgången till höger v.spermatica avgår från mellersta delen av v.cava inferior. Denna åtkomst kan vara extremt svår att kateterisera.
Vänster och höger v. spermatica har ingen förbindelse (arkad) mellan varandra.
Dessa patienter från urologen kommer oftast via Dagkirurgen för angiografin.
För att boka in denna undersökning läs mer på sidan [Boka specifika undersökningar].
Förberedelser
- Sedvanliga angioföreberedelser [länk] för patienten.
- Ingen bas-test behövs.
- Patienten ska komma i säng till angio.
- Dessa patienter bör ha uridom. Ingen KAD.
Material
- Angiouppdukning standard (med 50ml Visipaque 270mgJ/ml)
- Mikropunktion-set stiff (S-Mak)
- 5F Introducer
- 4F Cobra Glidecath, 80cm
- Terumo ledare 180cm (+ torquet)
- Progreat 2,0-2,7F mikrokateter.
- 3ml Luerlockspruta (2st) för kontrast i mikrokatetern.
- Ladda trycksprutan med (100ml Visipaque 270) kontrast.
Nedan saker väljer doktorn:
- Coils (Conserto), ca. 7-14mm.
- ev. introducer COOK Flexor 5F, 45cm.
- ev. Sos Omni 2.
Metod vänster sida
-

Spermatica efter coils Punktion av hö ljumskven med 5F introducer.
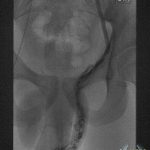
- Vanligtvis kateteriseras mynningen i vä njurven med en Glidecath Cobra 4F varefter man sedan med samma kateter försöker hitta ner en bit i v. spermatica (brukar ha en avgång 1-2cm från njurvenens utgång i cava).
- Innan man går ner med mikrokateter selektivt i v.spermatica köres kontrastserier från Glidcath-katetern med kontrastinjektorn (5-7ml, 5-7ml/s).
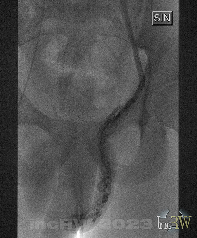
I många fall delar sig v.spermatica halvvägs ner mot pungen i 2 eller fler kärlgrenar.
Patienten behöver krysta i samband med kontrastserierna för att fylla kontrast ner dist i v.spermatica. - Generellt bör man emboliser så distalt som möjligt då det venösa återflödet från testis oftast även går till iliaka interna venen.
Det kan även finnas mindre återflöden via femoralis venen men dessa små vener åtgärdas inte. - Finns där en proximal delning får man coila båda grenarna.
Finns en distal förgrening kan coils läggas innan delningen. - Med mikrokateter går man ner distalt i v.spermatica som anses i första hand orsaka varicerna.
- Kontrastserier körs för hand (3ml spruta) eller med injektor (3ml. 3ml/s) i mikrokatetern när denna ligger mer distalt iv.spermatica. Patienten krystar!
- I första hand läggs coils av någon modell (Concerto).
Läggs med bäst resultat i en krök eller sväng med distala coil-änden förankrad mer distalt för att minska risken för migrering. - Avvakta några minuter innan kontroll med kontrastinjektion göres ifall blodavflöde passerar emboliseringsplatsen då patienten återigen får krysta.
- Ev behöver man även lägga coils i ytterligare grenar på v.spermatika som går ner mot pungen.
Samma mikrokateter används då för ev. ytterligare embolisering (om ej använd med Onyx!). - Om fortsatt flöde till varicerna i pungen trots coils kan man överväga att även embolisera med makrocoils (via 4F kateter) eller Onyx (via mikrokateter).
- För makrocoils krävs att en 4F kateter ligger en bit ner i v. spermatica.
- Ifall Onyx, lägg då med bef mikrokateter ner i mängden redan placerade coils om dessa anses riskera att migrera.
Höger v. spermatica
- Om höger v.spermatica ska emboliseraras avgår dess mynning en bit nedom v.renalis sin, dvs. från v.Cava inferior (nedre hålvenen).
- Denna kateterisering är klart svårare för dels utgångens tvära vinkel nedåt men även att denna ven är kort och smal och kan vara svår att se med kontrastserie i v. Cava.
- Det finns även en risk att lagda coils migrerar ut från denna ven och hamnar i lungartärerna.
- Överväg redan vid bokningen ev. sklerosering av varicerna istället (diskutera remissen med kärlkirurg) vilket inte görs hos oss.
Eftervård
- Handkompresion på punktionsstället ca 3-5min [länk] (kan göras på angiobordet medan pat. avdraperas).
- Sängläge och fasta 1 tim.
- Pat ska undvika tunga lyft och ansträngande fysiska arbetsmoment (sex) i ca 2 vecka efter us.
Uppdaterad 231203 (Spermatica)
